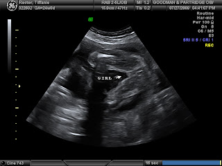
We had another ultrasound yesterday (7/27/09). We are at 24 weeks and just pushing right along. The ultrasound tech confirmed that Bethanie really is a girl because Bryan still wasn't believing it...but it's for sure! Her legs are extremely long and everything is still going great. Four chambers in the heart, beating beautifully...153 bpm. She weighs 1 pound 10 ounces right now. She's nice and healthy and happy...she was being shy yesterday. First she was trying to hide behind her arm...and then she was smooshing her face up against the placenta, guess she was too tired to be modeling. She had a long day yesterday jumping on her trampoline (my bladder). Haha. Anyway...everything's going well, so here are her 24 week ultrasound pictures. ENJOY!!
Spine...just thought it was a cool picture

No comments:
Post a Comment